- HOME
- 医療ホワイトニング
医療ホワイトニングとは
当院の医療ホワイトニングは、歯科医師がチェックを行い、その指示のもと歯科衛生士が施術するホワイトニングです。
厚生労働省から認可をされた「過酸化水素」を有効成分とする薬剤を使用し、歯の内部にもアプローチし、歯を白くしていきます。使用する薬剤は、医療機関である歯科医院と歯科衛生士しか取り扱うことができないもので安全性が高いものです。また、事前問診をしっかり行った上でホワイトニングを実施しますので、歯が白くなりづらい箇所や、口腔状態を把握した上で最適なプランをご提案いたします。
※成分がオキシドール(過酸化水素)のため、歯を白くするだけでなく口腔内環境を整える効果も期待できます。

こんな方へ
□歯を白くしたいけれど知覚過敏があるので相談したい
□セルフホワイトニングを実施したが思うような変化が得られなかった
□むし歯や詰め物・被せ物なども考慮した上で歯を白くしたい
□短期間で歯を白くしたいが、リスクも理解した上でホワイトニングをしたい
使用する補助剤について
ウルトライーズ(知覚過敏抑制剤)
ホワイトニング時に「知覚過敏」と呼ばれる歯がしみる、キーンと響くような感覚が生じる場合がありますので、知覚過敏抑制剤を施術前に使用することで、しみることを抑えることができます。
エアフロー(ホワイトニング前の歯面清掃)
歯の表面を専用パウダーで清掃し、薬剤の浸透を高める処置です。ホワイトニング前に施術をすることで、ホワイトニング剤がより浸透しやすく効果を得られやすいです。

エアフロー前

エアフロー後

エナメラスト(ホワイトニング後のケア)
ホワイトニング後の歯は、歯を強くする効果のあるフッ素(フッ化物)が作用しやすい状態になります。
そこで歯質を強化し、二次着色やしみを防ぐ処置を行います。
ホワイトニングの流れ
ホワイトニングのプランによって初回の予約時間が異なります。
STEP1.カウンセリング
ご希望やお悩みをお伺いし、ホワイトニングについてご説明します。
STEP2.診査・診断・写真撮影
歯科衛生士による歯の色、むし歯や詰め物・被せ物の状態、歯の見え方や形態・性質などを確認します。
STEP3.エアフロー(ご希望の方)
STEP4.ホワイトニングの実施
決定したプランに沿って施術を行います。
STEP5.ホワイトニング後の評価
効果を確認し、今後のケアについてお伝えします。
STEP6.修復・補綴治療(必要に応じて)
白くなった歯に合わせて、詰め物や被せ物の治療をご提案します。
STEP7.メインテナンス
歯面清掃やエアフローで、白さを維持できるようサポートします。
STEP8.タッチアップ(再ホワイトニング)
必要に応じて、ホームまたはオフィスで再ホワイトニングを行います。
3つのメニューをご用意しています
| デュアルホワイトニング | ホームホワイトニング | オフィスホワイトニング |
|---|---|---|
| 医院+ご自宅でのホワイトニング ▼ | ご自宅でのホワイトニング ▼ | 歯科でのホワイトニング ▼ |
デュアルホワイトニング
特徴
より高い効果を長期安定して維持したいという方に。
オフィスホワイトニングとホームホワイトニングを併用することで、それぞれの短所を補い早く白くなりつつ、長く安定して白い歯を維持することを目指します。
予約時間
初回:2時間
診査・診断→撮影→エアフロー→施術
| 診査・診断 | 無料 |
|---|---|
| デュアルホワイトニング ・オフィスホワイトニング2回分 ・ホームホワイトニング4回分 ・ウルトライーズ(知覚過敏抑制剤)2回分 ・エアフロー(ホワイトニング前の紙面清掃) |
66,000円 |
| エナメラスト(歯質強化) | 1,100円 |
ホームホワイトニング
特徴
\不快な型取りが不要!/
すぐに始められる魅力的な新しいホワイトニングシステムです。
(こんな方へ)
□ご自宅で、自分のペースで白さを実感したい方
□歯科医院に通院することが難しい方
□使い捨てのカスタムトレイのためお手入れ不要
□矯正中・治療後にホワイトニングをしたい方

初回予約時間
30分 診査・診断、写真撮影、必要に応じてエアフローを行います
料金
| 診査・診断 | 無料 |
|---|---|
| エアフロー(ホワイトニング前の歯面清掃) | 2,200円 |
| 10回分 | 22,000円 |
※料金は税込です。
※1回あたりの使用時間は90分です。連続10日間使用可能です。
矯正治療中の方へ
インビザライン(マウスピース型カスタムメイド矯正歯科装置型)のマウスピースを利用してホームホワイトニングを行います。
| インビザライン (マウスピース型カスタムメイド矯正歯科装置) |
1,650円/1本 (オパールエッセンス濃度10%) ※1本あたり前歯12本への使用で約1週間お使いいただけます。 ※1回あたりの最大使用時間は2時間です。 ※2週間繰り返していただきます。 |
|---|

ホームホワイトニング時の注意
1.ホームホワイトニングの際は、使用方法・使用時間を守ってお使いください。
2.適量をお守りください(オパールエッセンス濃度10%)
ホワイトニングジェルを多くつけすぎるとマウスピースを装着した際に歯茎にまでジェルが広がってしまい炎症やただれの原因になります。
適量をつけても歯面に広がっていない場合は、マウスピースの上から軽く指で押してはみ出ないようにジェルを広げていただいても大丈夫です。
3.しみる場合
ホワイトニング中にお痛みが出たときはすぐに使用を止めていただき、マウスピースを外したあとお水でよくうがいをしてください。知覚過敏のようなしみる痛みであれば、痛みが治まった日の翌日以降まで使用をお控えください。
オフィスホワイトニング
特徴
早く歯を白くしたい!という方に。
個人差はありますが、1回あたり約2段階歯が白くなります

予約時間
初回:2時間
診査・診断→撮影→エアフロー→施術
料金
| 診査・診断 | 無料 |
|---|---|
| 3回分 ・ウルトライーズ(知覚過敏抑制剤)3回分 ・エアフロー(ホワイトニング前の歯面清掃) 上記を含みます |
77,000円 |
| エナメライト(歯質強化) | 1,100円 |
| ホワイトニングFAP 5回 FAPとは>> |
77,000円 |
リスク・副作用・注意点
・ ご希望の白さにならない場合があります(個人差があります)。
・ 施術後に獲得した白さは後戻りをすることがあります。
・ 知覚過敏が重度な方やむし歯や歯周病など、病変のある方はホワイトニングが出来ない場合があります。
・ 稀に歯がしみるなどの知覚過敏症状や痛みが出る可能性があります(24時間経過すると軽減します)。
・ 歯の着色を防ぐため施術から24時間は、喫煙(タバコ)・お茶・コーヒー・ワイン・カレーなど色の付きやすい食べ物や飲み物・嗜好品は控えてください。
・ 生まれつき歯がくすみ・黄ばみのある方は、漂白効果が得られないことがあります。
・ 神経を取った歯(神経が死んで変色した歯)、重度のテトラサイクリンによる歯の黄ばみ、くすみ・暗さの方は効果が出ません。
・ 施術後、稀に白さが「まだら」になることがあります。
当院では、上記のようなことが起こらないよう、事前問診・診査・診断、治療計画をしっかりと行い、安全性を期したホワイトニング治療を心がけております。
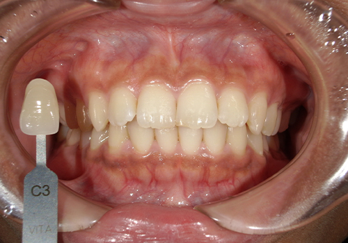
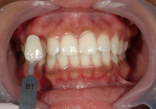
ホワイトニング症例
施術前

施術後

| 主訴 | 結婚式までに全体的に歯を白く明るい印象に変えたい。 |
|---|---|
| 治療期間 | 3週間 |
| 治療費 | 671,00円(税込) |
| 治療内容 | メニュー名:デュアルホワイトニング オフィスホワイトニングとホームホワイトニングを併用して、歯の色を歯科医院で白くしたあと、歯を強くする効果があるエナメラストを塗布。 歯質を強化し、二次着色やしみを防ぐ処置を行いました。 |
| 治療のリスク | ・必ず望み通りの白さになるわけではない。 ・色の後戻りをすることがある。 ・ホワイトニング薬剤による知覚過敏が起こる場合がある。 |
