2025/12/22
今回の症例の初診時の年齢は12歳1か月で、永久歯への生え変わりがほぼ完了しつつある時期でした。上下顎ともに歯並びのデコボコ・ガタつきが強く、横顔を確認すると出っ歯(上下顎前突)の傾向が認められました。さらに噛み合わせが深く、上下の正中にもずれが見られました。
成長期であったため、顎の成長発育の状態を慎重に評価した上で、永久歯列期から本格的な矯正治療を開始しました。単に歯並びを改善するだけでなく、骨格的な前突感の改善と、咬合の安定を重視しています。
また治療では、上下顎のスペース不足を改善するために抜歯を行い、マルチブラケットシステムを用いて永久歯列の配列を行いました。治療途中には顎間ゴムを併用し、前後的な咬合関係や正中の調整を行っています。また、歯列の緊密性を高める目的でIPR(歯間削合)も適宜行い、最終的に安定した噛み合わせの獲得を実現できました。
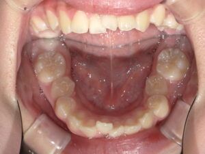
<初診時>

<下顎>

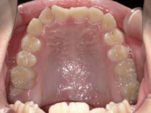
<上顎>

<矯正治療後>

<口元の変化>

<歯並びの変化>

治療期間を通して、歯並びだけでなく、噛み合わせの深さや正中のずれも改善され、口元の突出感も軽減し、機能的にも審美的にもバランスの取れた仕上がりとなりました。高校受験開始までに治療が完了しました。
症例詳細
■主訴
前歯のがたつき・デコボコ、噛み合わせが深い、正中のずれ
■主な矯正装置
マルチブラケット矯正装置(エスタMB)
顎間ゴム、IPR併用
■治療期間
約2年4か月
■費用
約750,000円
別途、処置料がかかります。
■抜歯
上顎:左右4番 下顎:右側4番、左側5番
■考えられるリスク等
・最初は矯正装置による不快感、痛み等があります。数日間~1、2週間で慣れることが多いです。
・歯の動き方には個人差があります。そのため、予想された治療期間が延長する可能性があります。
・装置の使用状況、顎間ゴムの使用状況、定期的な通院等、矯正治療には患者さんの協力が非常に重要であり、それらが治療結果や治療期間に影響します。
・治療中は、装置が付いているため歯が磨きにくくなります。むし歯や歯周病のリスクが高まりますので、丁寧に磨いたり、定期的なメンテナンスを受けたりする事が重要です。また、歯が動くと隠れていた虫歯が見えるようになることもあります。
・歯を動かすことにより歯根が吸収して短くなることがあります。また、歯ぐきがやせて下がることがあります。
・ごくまれに歯が骨と癒着していて歯が動かないことがあります。
・ごくまれに歯を動かすことで神経が障害を受けて壊死することがあります。
・治療途中に金属等のアレルギー症状が出ることがあります。
・治療中に「顎関節で音が鳴る、あごが痛い、口が開けにくい」などの顎関節症状が出ることがあります。
・さまざまな問題により、当初予定した治療計画を変更する可能性があります。
・歯の形を修正したり、噛み合わせの微調整を行ったりする可能性があります。
・矯正装置を誤飲する可能性があります。
・装置を外す時に、エナメル質に微小な亀裂が入る可能性や、かぶせ物(補綴物)の一部が破損する可能性があります。
・装置が外れた後、保定装置を指示通り使用しないと後戻りが生じる可能性が高くなります。
・装置が外れた後、現在の噛み合わせにあった状態のかぶせ物(補綴物)やむし歯の治療(修復物)などをやりなおす可能性があります。
・あごの成長発育により噛み合わせや歯並びが変化する可能性があります。
・治療後に親知らずが生えて、凸凹が生じる可能性があります。加齢や歯周病等により歯を支えている骨がやせると噛み合わせや歯並びが変化することがあります。その場合、再治療等が必要になる事があります。
・矯正歯科治療は、一度始めると元の状態に戻すことは難しくなります。
症例ブログを今後も掲載していきます。矯正無料相談はLINEまたはお電話にて承ります。
監修歯科医師
浜島 悟
はまじま歯科クリニック 院長
日本歯科医師会会員 / 愛知県歯科医師会会員 / 尾北歯科医師会会員 / 日本口腔インプラント学会会員
浜島 康祐
はまじま歯科クリニック 副院長
歯学博士 / 日本矯正歯科学会会員 / 顎変形症学会会員 / 口唇口蓋裂学会会員 / 近畿東海矯正歯科学会会員 / 愛知学院大学歯学部歯科矯正学講座・小児歯科学講座 招へい教員
